组织病理图像个体细胞分割的多层Boosting稀疏卷积模型
成果名称 | 组织病理图像个体细胞分割的多层Boosting稀疏卷积模型 | |||||||
成果联系人 | 宋杰 | 职称 | 讲师 | 所在单位 | 厂长资源 、人工智能学院 | |||
联系电话 | ||||||||
技术成熟度 | 技术分类 | |||||||
核心专利号 |
| |||||||
所属学科方向 | 一级学科 | 计算机科学与技术 | 二级学科 | 计算机科学与技术 | ||||
应用行业 | 人工智能、生物医学 | |||||||
项目概况: 复杂背景病理图像个体细胞分割是在成千上万个体细胞汇集的图像中逐个分割出具有相对完整边界的细胞,为后续细胞形态计算和病理特征提供定量分析,因此,临床和医学研究迫切需要能够进行多个器官和疾病状态的细胞核病理图像高精度分割方法。然而,个体分割具有如下挑战:一方面,对于病理状态(例如增生或某种癌症亚型)图像而言,由于细胞核增大,并呈现染质浓集贴边,即核內染质较浅,而边缘附近染质较深;而着色较深的核仁也大量出现在核内。另一方面,由于病理图像中往往细胞密度高、细胞间出现重叠和成团等突出问题,加剧了个体细胞分割的难度。复杂病理图像呈现出染质稀疏、严重背景杂斑以及细胞核聚合等现象,而已有的细胞核分割学习算法只局限于同一器官的训练与测试,随着病理数据中更多挑战的引入,其分割性能遭受大幅度的下降。 虽然深度神经网络通过构建多层参数化的可微非线性模块并使用后向传播计算能较好地处理病理图像细胞核表观多样性的分割问题,但由于网络架构、网络复杂性以及超参数的影响,使其分割的性能受到限制。
| ||||||||
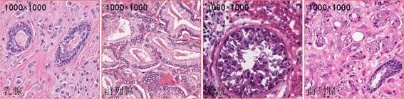
关键技术: 针对病理图像中染质稀疏、复杂背景杂斑以及细胞核聚合等更多分割挑战,旨在设计一种强泛化能力的稀疏学习模型,包括 (1)多层表示特征学习模型:将复杂病理细胞核的分割任务重新建模为一个稀疏约束的区域分类问题,提出了ML-BSC模型。分类过程引入级联稀疏约束,使得有效的特征表示学习成为可能。此外,通过结合学习机制和人工方法实现了鲁棒特征提取和卷积特征加速。与现有深度学习模型相比,提出的多层表示特征学习模型参数规模较小。 (2)Boosting判别概率二叉决策树:多层学习模型由Boosting学习模块堆叠组成。每层Boosting学习模块使用判别概率二叉决策树序列作为弱学习器,可有效降低模型对稀疏染质和背景杂斑的敏感性,从而得到更加精确的分割结果。通过乳腺、前列腺、肾脏、肝脏、胃和膀胱等多组病理图像集的分割实验表明:该模型在多个指标上均优于目前监督学习方法,对于病理图像分割具有较好应用前景。
提出的分割框架流程图。每层获取的特征图与原始输入图像大小相同。每层分类器由弱学习器(即PBDTs)序列构造。需要注意的是,不同层和不同方法计算得到的滤波器大小不同,但这些滤波器已被统一缩放以更好地可视化。
| ||||||||
应用领域和市场前景: 数字病理辅助诊断能够提供更快速、可重复、更一致的图像分析,不但大幅减轻了科研人员和临床医师的重复性劳动,而且能够有效避免观察者间的诊断差异;另一方面,数字病理辅助诊断能够提供可重复的、精确的疾病表征,不但可以减少诊断偏差,而且为患者的个性化治疗提供可能。例如治疗前后的疾病对比分析、潜在的预后治疗方案和个性化的用药策略等。因此,数字病理辅助诊断技术在临床疾病诊断决策中发挥着日益举足轻重的作用。近年来,美国和加拿大等数字病理强国一直致力于病理人工智能领域的研究,用以解决乳腺癌、前列腺癌等常见癌症组织病理学中的瓶颈。欧洲病理学会和日本病理学会也在极力推动数字病理的技术改进、平台更新、图像精准分割等方面的快速发展。2020年3月,我国国家卫健委印发了《新冠病毒肺炎诊疗方案(试行第七版)》,明确增加了病理改变,日前已获得大量数字病理图像集和病理报告,对于数字病理引导的突发公共卫生事件危害的有效预防、及时控制和消除具有重要的临床意义。
| ||||||||
合作方式(技术转让,技术开发,技术服务,技术咨询,技术入股):
技术开发
| ||||||||
图片:(1-5张,文件大小不低于1MB,图片清晰,并标注图片说明)
多尺度数字病理辅助诊断技术
| ||||||||


